ПРОФЕССИОНАЛЬНАЯ ЧИСТКА ЗУБОВ
Доктора клиники "Стоматология доктора Галеевой", обладая глубокими знаниями и большим опытом, вкладывают в каждый вылеченный зуб частичку своей души. Мы заботимся о наших пациентах и предлагаем им только лучшее – современные методы с использование высокотехнологичного оборудования. Необходимость лечения зубов раньше вызывало тревожные мысли, а от воспоминаний о сверлении зуба появлялись мурашки на коже. Ожидание предстоящей боли порой вынуждало отказываться от визита к стоматологу. В последние годы в стоматологии произошел качественный скачок в методах лечения, появились новые материалы. Свойства материалов последнего поколения (нанокомпозиты) максимально приближены к естественным тканям зубов и полностью соответствуют зубной эмали. В недалеком прошлом нельзя было даже предположить, что такое станет возможным.
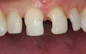
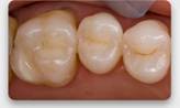
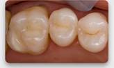
До и после реставрации







БЕЗБОЛЕЗНЕННОЕ ЛЕЧЕНИЕ ЗУБОВ
Многие из нас по старинке до сих пор отправляются к стоматологу только тогда, когда боль становится нестерпимой. Это приводит к неминуемому удалению зубов. Между тем, удаление зубов можно избежать, если постоянно следить за их здоровьем. К счастью, сегодня лечение зубов больше не вызывает негативных эмоций и мыслей. Профессиональное лечение зубов в Казани в полном объеме представлено в клинике "Стоматология доктора Галеевой".
Лечение зубов сегодня - это безболезненная процедура с применением современных технологий. Порой пациент засыпает в кресле стоматолога. Лечение зубов в Казани в нашей клинике – это профессиональное применение высокотехнологичного оборудования, которое вместе с опытом и знанием специалистов дает непревзойденный результат.
ПРОФЕССИОНАЛЬНАЯ ЧИСТКА ЗУБОВ
Житейская мудрость гласит, что предотвратить легче, чем лечить. Чистка зубов - это самый эффективный метод профилактики почти всех видов патологий полости рта. Многие из нас, придя к стоматологу с жалобой на зубную боль, слышали в свой адрес - «Вот если бы Вы делали плановую чистку зубов, лечить бы не пришлось». Действительно, кариесы и пародонтита можно избежать, если вовремя уделить должное внимание своим зубам. Профессиональная чистка зубов в "Стоматологии доктора Галеевой" - это целый комплекс мероприятий, направленных на поддержания здоровья всей полости рта. В этот комплекс входят ультразвук, современная система чистки Air Flow, полирование с использованием специальных паст и реминерализующих препаратов. Стоматологи рекомендуют проводить такую чистку раз в полгода вне зависимости от того, беспокоит Вас зубная боль или нет. Ведь, если зуб заболел, то здесь уже необходимо лечение. Профессиональная чистка зубов особенно важна и необходима будущим мамам.
Чистка зубов при помощи ультразвука – наиболее действенный метод профессиональной чистки. Метод основан на применении ультразвука, который позволяет убрать зубной камень, под которым понимают твердые зубные отложения. Современное ультразвуковое оборудование позволяет удалять отложения над деснами и под ними. Поддесневые отложения представляют наибольшую угрозу здоровью зубов, так как способствуют развитию целого ряда заболеваний полости рта, таких как: пародонтит и кариес. Посещение авторской клиники "Стоматология доктора Галеевой" позволит Вам улыбаться полной улыбкой и не переживать больше за здоровье своих зубов. Если глаза – это зеркало души, то красивая улыбка – это зеркало вашего здоровья. Наши доктора позаботятся о здоровье Ваших зубов, и начинать свой день Вы будете с улыбки.
Аппарат для ультразвуковой чистки Piezon
Air-Flow(Эйр Флоу) – это процедура профессиональной чистки зубов, позволяющая снять зубной налет, без повреждения эмали. Вплотную к зубам под углом 30-60 градусов врач подносит наконечник аппарата, из которого под давлением выходит смесь воды, воздуха и специального порошка, и круговыми движениями очищает каждый зуб. Отработанные порошок, вода, частицы зубного налета собираются специальным стоматологическим пылесосом. Air-Flow эффективно удаляет следы от чая, кофе, вина, сигарет, зубные отложения и зубной налет, при этом не обесцвечивая зубную эмаль.
Аппарат для чистки Air flow
Зубы – это природное наше украшение. Но когда они болят – жизнь превращается в одну зубную боль, заслоняющую все на свете. И весь мир начинает вертеться только вокруг больного зуба. Если отсутствует всего 1 зуб, то это сразу вызывает дискомфорт. Помимо проблем с жеванием, это грозит и смещением зубов, и нарушением их смыкания, и даже изменением прикуса. А это, в свою очередь, может привести к развитию различных заболеваний челюсти, кариеса и возникновению заболеваний десен. В особо тяжелых случаях, Вас могут мучить головные боли и боли в области лица. Своевременное обращение к врачу-стоматологу позволит избежать этого.
СПЕЦИАЛИСТАМ "СТОМАТОЛОГИИ ДОКТОРА ГАЛЕЕВОЙ" УДАЕТСЯ СОХРАНИТЬ 85% ЗУБОВ, ОБЫЧНО НАПРАВЛЯЕМЫХ НА УДАЛЕНИЕ